Connect with us

Hi, what are you looking for?

News

Young Dad Thought His Colon Cancer Was Behind Him, but Tragedy Struck Again. He Felt Hopeless, and Then a ‘Miracle’ Happened

Spencer Laird's second cancer diagnosis only gave him two years to live

Spencer Laird at Duke Cancer Center in 2025
Credit: Shawn Rocco/Duke Health

NEED TO KNOW

  • Spencer Laird was diagnosed with colon cancer at 26 and later found it had spread to his lungs
  • He joined a clinical trial for immunotherapy, which reduced his tumors from 13 to three
  • Doctors are optimistic about his remission, calling his progress “uncharted territory”

A young dad named Spencer Laird was diagnosed with colon cancer around age 26, but was treated with a surgery that removed 16 inches of his colon. 

Because of this, and the fact that two years had passed, Spencer believed he was in the clear. He went back to work and enjoyed his daily life, until he went with his wife CarleyAnn Laird to a follow-up appointment in December 2024.

"They had already checked out everything and said 'everything looks good to go,' " Spencer recalled to CBS News. "And she said, 'No, he's been sleeping a lot lately, he's been tired a lot.' She told him that she wanted him to do a full body scan on me."

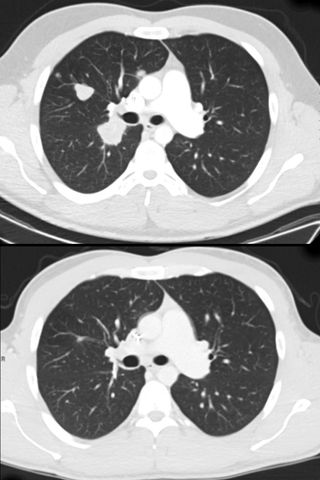
Spencer Laird's medical scansCredit: Duke Health
Spencer Laird's medical scans
Credit: Duke Health

After this scan, Spencer found out that not only had his cancer returned, but it had spread to his lungs. He had 13 tumors, and one was the size of a golf ball, according to the outlet. Because of this, Spencer's doctor estimated he only had about two years to live.

"So much went through my head," Spencer said. "I just thought: I'm 30 years old. I've got a wife. I've got a 5-year-old little girl. There was the shock of it." 

"I stayed up days and just stared at his scans," CarleyAnn added. "This was strictly me not wanting to lose my husband and having to tell my 5-year-old." 

Spencer Laird (left) and CarlyAnn Laird at Duke Cancer Center in November 2025Credit: Shawn Rocco/Duke Health
Spencer Laird (left) and CarlyAnn Laird at Duke Cancer Center in November 2025
Credit: Shawn Rocco/Duke Health

CarleyAnn applied for various clinical trials on behalf of her husband, including gastrointestinal oncologist Dr. Nicholas DeVito's study on immunotherapy. However, this method is typically only used if a patient doesn't respond to chemotherapy, which Spencer hadn't tried.

DeVito explained that it is the "fourth or fifth line of defense," and there were "nice responses in about a quarter of patients."

Never miss a story — sign up for PEOPLE's free daily newsletter to stay up-to-date on the best of what PEOPLE has to offer​​, from celebrity news to compelling human interest stories.

"I don't like to say you have nothing to lose, but that's kind of the only way to put it," Spencer said. "When you get a diagnosis like that, why not try something that you don't know anything about?" 

He then enrolled in DeVito's clinical trial in February 2025, being one of 15 patients to receive an immunotherapy infusion every few weeks. Thankfully, it seemed to be working, as Spencer's tumors decreased to just three.

"It's a miracle. It's really a miracle from God," he said. "Looking at where it started and where it is now, it's just unbelievable." 

Spencer's side effects subsided in spring 2025, and CarleyAnn said it's been "smooth sailing" ever since.

"In a nutshell, this was a diagnosis that would probably have shortened his life to five years or less, at best," DeVito said. "And now we're thinking 'Well, is he cured? How long does this remission last? Is it permanent? How does this cancer stay away?' We're really drifting into uncharted territory." 

Although Spencer is not entirely cancer-free, he no longer has a terminal diagnosis. "It really just taught me to try to live life," he shared. "There's no sense sitting around being lazy. If the good Lord wakes you up every day and you got breath in your lungs, just go do something." 

Read the full article here

Click to comment

Leave a Reply

Your email address will not be published. Required fields are marked *

You May Also Like

News

Hot Celebrity Butts Guess Who! Published March 19, 2026 11:04 AM PDT “In the Name of Love!!!” … Hollywood’s been rollin’ in cheeks all...

News

Chuck Norris Legendary Martial Artist & Actor Dead At 86 Published March 20, 2026 6:53 AM PDT Chuck Norris — the famed martial artist...

News

The world is still trying to wrap their head around the shocking video of Taylor Frankie Paul appearing to assault her ex Dakota Mortensen...

News

Now 31, Angela Luna is preparing to begin her own career as a flight attendant Angela Luna and Kym Hughes in the early 2000's...